내손동치과추천 특정 치아에 통증이 느껴진다면

내손동치과추천 특정 치아에 통증이 느껴진다면 식사를 하다 보면 유독 특정 치아만 불편하게 느껴지는 경우가 있습니다. 평소에는 괜찮다가도 음식을 씹는 순간 찌릿한 느낌이 들거나, 단단한 음식을 먹을 때만 순간적으로 통증이 나타나는...
안양 믿음치과 - 내손동1 1

인덕원 인레이치료 잘못되었을 때 어떤 문제가 생길 수 있을까요?

인덕원 인레이치료 잘못되었을 때 어떤 문제가 생길 수 있을까요? 안녕하세요.인덕원 믿음치과 손동근 원장입니다. 치과 치료는 단순히 치료를 받는 것에서 끝나는 것이 아니라, 치료 이후 얼마나 안정적으로 유지되는지도 중요합니다. 특히 충치...
안양 믿음치과 - 믿음인레이4

인덕원 치아치료 아프기 전에 관리가 중요합니다.

               인덕원 치아치료 아프기 전에 관리가 중요합니다. 안녕하세요.인덕원 믿음치과 대표원장 손동근입니다. 치과 진료를 하다 보면 “조금 더 일찍 치료받으셨다면 좋았을 텐데요”라는 말씀을 드리게 되는...
안양 믿음치과 - 치아치료3

안양 인덕원 치과 추천 스케일링 왜 정기적으로 받아야 할까

안양 인덕원 치과 추천 스케일링 왜 정기적으로 받아야 할까 치아 관리는 단순히 충치를 예방하는 것만으로 끝나지 않습니다. 치아 주변 잇몸 건강까지 함께 관리해야 전체적인 구강 상태를 안정적으로 유지할 수 있습니다....
안양 믿음치과 - 안양인덕원1

관양동치과, 과잉진료 걱정 없는 정직한 곳을 찾는 3가지 기준

관양동치과, 과잉진료 걱정 없는 정직한 곳을 찾는 3가지 기준 안녕하세요. 관양동치과를 찾으시는 지역 주민 여러분의 구강 건강을 책임지는 믿음치과입니다. 치아에 통증이 느껴지거나 잇몸이 부어오를 때, 혹은 스케일링 시기가 다가왔을 때...
안양 믿음치과 - 02 1

인덕원치과 선택 기준, 과잉진료 피하고 평생 주치의 찾는법

인덕원치과 선택 기준, 과잉진료 피하고 평생 주치의 찾는법 안녕하세요. 인덕원치과를 찾으시는 지역 주민 여러분의 건강한 미소를 책임지는 인덕원 믿음치과입니다. 치아 건강은 오복 중 하나로 불릴 만큼 우리 삶의 질에 큰...
안양 믿음치과 - 02

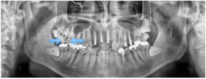
인덕원임플란트 성공적인 식립을 위해

인덕원임플란트 성공적인 식립을 위해 인덕원 부근에서 임플란트 치과를 찾고 계신가요? 임플란트는 한 번 식립하면 10년 이상 사용할 수 있으며 전체 구강 건강을 위해 중요한 시술입니다. 단순히 ‘가까운 곳’이나 ‘저렴한 곳’만...
안양 믿음치과 - 02 9

인덕원치과 과잉진료 피하고 평생 주치의 찾는 방법은

인덕원치과 과잉진료 피하고 평생 주치의 찾는 방법은 인덕원역 인근에는 수많은 치과가 밀집해 있습니다. 하지만 막상 치아가 아프거나 정기 검진을 받으려 하면 “어디가 정말 잘할까?”, “과잉진료를 하지는 않을까?” 하는 걱정이 앞서기...
안양 믿음치과 - 02

안양 평촌동 치과 추천, 사랑니 발치 시기와 관리 방법

안양 평촌동 치과 추천, 사랑니 발치 시기와 관리 방법 사랑니는 개인마다 나는 시기와 방향이 다르기 때문에 관리 방식도 달라질 수 있습니다. 일부는 문제 없이 유지되기도 하지만, 경우에 따라 통증이나 염증을...
안양 믿음치과 - 안양평촌1

인덕원 잇몸부기와 출혈이 심한 앞니, 어떻게 치료할까

        인덕원 잇몸부기와 출혈이 심한 앞니, 어떻게 치료할까     안녕하세요. 인덕원 믿음치과 원장 손동근입니다. 보철 치료의 기본은 잇몸 상태, 즉 치주 건강에 있습니다. 잇몸 관리가 얼마나...
안양 믿음치과 - 진료노트2

로그인