인덕원 임플란트 이후에 볼과 혀를 자주 씹어요

안양 믿음치과 - 인덕원 임플란트 이후에 볼과 혀를 자주 씹어요

인덕원 임플란트 이후에 볼과 혀를 자주 씹어요

 

인덕원 임플란트 1

 

안녕하세요.

인덕원 믿음치과 원장 손동근입니다.

 

인덕원 임플란트 2

 

임플란트 치료를 받은 뒤
“요즘 자꾸 볼이나 혀를 씹게 돼요”라고 이야기하시는 분들이 생각보다 적지 않습니다.

보철물에 문제가 있는 경우도 있지만, 그보다는 비어 있던 공간이 채워지면서 이미 자리 잡고 있던 혀나 볼의 위치가 달라져 생기는 경우가 더 많습니다.

특히 오랜 시간 치아 없이 지내셨던 분들은 볼 안쪽이 그 빈 자리로 들어가 적응되어 있는 모습을 흔히 볼 수 있습니다.

 

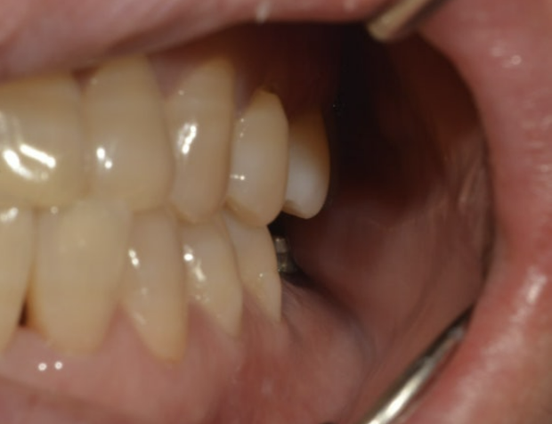
인덕원 임플란트 03

사진을 보시면, 해당 환자분은 임플란트 식립만 해둔 채 보철을 연결하지 않은 상태로 약 2년이 지난 뒤 내원하셨습니다.

오랜 기간 치아가 없는 채로 지내시다 보니, 아래 사진처럼 비어 있던 자리 안쪽으로 볼 조직이 들어와 공간을 메우고 있는 모습을 확인할 수 있었습니다.

인덕원 임플란트 04

이 자리에 보철을 연결하게 되면, 이미 안쪽으로 들어와 있던 볼이 바로 제자리로 돌아가는 것은 아닙니다. 어느 정도 시간이 지나면서 천천히 적응하는 과정이 필요합니다.

이 적응 기간 동안에는 볼이나 혀가 씹히는 일이 생길 수 있고, 그로 인해 일시적인 불편감을 느끼실 수 있습니다.

인덕원 임플란트 07

대체로 약 2개월가량 적응하는 시간이 필요하며, 회복 속도는 개인에 따라 차이가 있을 수 있습니다.

이 기간 동안 볼이나 혀를 반복해서 씹게 되면 해당 부위에 상처가 생겨 통증이나 불편함이 동반될 수 있습니다.

인덕원 임플란트 06

따라서 인덕원 임플란트 치료 후 혀나 볼을 자주 씹는 증상이 있다면, 돌출된 부위를 보호할 수 있는 전용 패치를 사용하는 것이 도움이 될 수 있습니다.

같은 불편으로 고민하고 계시다면 병원에 내원하셔서 정확한 확인과 안내를 받아보시기 바랍니다.

인덕원 임플란트 08 인덕원 임플란트 09

링크가 복사됐어요

로그인