인덕원 신경치료, 장기적인 사용이 가능한가요

안양 믿음치과 - 인덕원 신경치료, 장기적인 사용이 가능한가요

인덕원 신경치료, 장기적인 사용이 가능한가요

인덕원 신경치료1

안녕하세요 인덕원 믿음치과 원장 손동근입니다.


충치가 심해도 신경치료로 살리는게 가능한가요?

인덕원 신경치료2

충치가 진행되어 치과를 찾으신 분들 중에는 한 번쯤 신경치료에 대해 들어보신 분들이 있을 것 같습니다.

신경치료를 통해 자연 치아를 그대로 보존할 수 있는지, 또 얼마나 오래 사용할 수 있는지 궁금해하는 분들이 많습니다.

사실 이 부분은 치아 상태에 따라 달라지며, 경우에 따라 자연 치아를 지킬 수도 있고, 지키지 못할 수도 있습니다.

인덕원 신경치료3

사진을 보면, 이전에 신경치료를 받았던 앞니가 깨져서 치과를 찾으신 사례입니다.

치료 당시 오른쪽 위 치아에서도 충치가 발견되었지만, 환자분께서는 앞니만 치료받고 싶다고 하셨습니다.

앞니에 임플란트 시술을 진행한 뒤 몇 년이 지나, 통증이 심해져 불편함을 느끼며 다시 내원하신 상황입니다.

인덕원 신경치료4

충치가 더 크게 진행된 모습을 확인할 수 있습니다.

이미 심한 통증을 느끼며 내원하신 경우라면, 치료 시기를 놓쳤을 가능성이 높습니다.

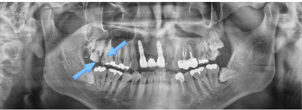
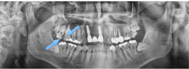
가장 뒤쪽의 부러진 사랑니는 발치하였고, 그 앞쪽 화살표로 표시된 두 개의 치아는 신경치료를 진행하게 되었습니다.

인덕원 신경치료5

충치를 제거한 뒤, 신경관에 접근하는 치수강을 열어보았습니다.

오른쪽 치아의 치수강 내부는 깨끗했지만, 왼쪽 치아는 내부 오염이 심한 상태였습니다.

이처럼 치수강 오염이 심한 경우, 충치가 치아 신경이 지나가는 뿌리까지 도달했을 가능성이 높습니다.

따라서 치료가 잘 이루어지더라도 치아의 수명이 길지 않은 경우가 많습니다.

인덕원 신경치료6

왼쪽 치아의 CT 결과에서도 뿌리 아래쪽에 큰 염증이 확인되었습니다.

환자분께 치아 상태와 예후를 자세히 설명드린 후, 치아 상태가 좋지 않아 발치를 원하신 덕분에 임플란트 시술을 진행하기로 결정하였습니다.

오른쪽 사진에서 보이는 다른 치아들은 신경치료로 치료를 마무리했습니다.

이처럼 비슷한 통증을 느끼더라도, 충치의 깊이와 진행 정도에 따라 치료 결과는 달라질 수 있습니다.

인덕원 신경치료7

무엇보다 정기적인 치과 검진을 통해 적절한 관리 시기를 놓치지 않는 것이 중요합니다.

이미 통증이 발생한 뒤 내원하게 되면 치료가 늦어질 수 있기 때문에, 미리 예방을 위해 전문가의 도움을 받는 것을 권장드립니다. 감사합니다.

인덕원 신경치료8 인덕원 신경치료9

링크가 복사됐어요

로그인