인덕원 신경치료, 장기적으로 사용할 수 있을까

안녕하세요.
인덕원 믿음치과 원장 손동근입니다.
충치가 너무 심해서 신경치료가 가능할까요?

충치가 심해 치과를 찾으신 분들 중에서는 신경치료라는 말을 한 번쯤 들어보셨을 텐데요.
많은 분들이 “신경치료를 하면 내 치아를 그대로 살릴 수 있을까?” 혹은 “치아를 얼마나 오래 쓸 수 있을까?” 하는 궁금증을 가지십니다.
실제 결과는 치아 상태와 손상 정도에 따라 달라집니다. 경우에 따라서는 자연치아를 보존할 수 있지만, 때로는 살리기 어려운 상황도 있을 수 있습니다.

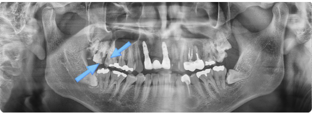
사진에서 보시는 사례는, 과거 신경치료를 받은 앞니가 깨져 내원하신 환자의 경우입니다.
내원 당시 오른쪽 위 치아에서도 충치가 발견되었지만, 환자분은 앞니 치료만 원하셨습니다. 이후 앞니 임플란트를 진행했으나, 몇 년 뒤 통증이 심해져 불편을 느끼며 다시 병원을 찾으신 상황입니다.

검사 결과, 충치가 이전보다 훨씬 크게 진행된 모습을 확인할 수 있었습니다.
이미 통증이 심할 때 내원하셨다면, 적절한 치료 시기를 놓쳤을 가능성이 높습니다.
이 사례에서는, 가장 뒤쪽에 부러진 사랑니는 발치를 진행하였고, 앞쪽 화살표로 표시된 두 개 치아는 신경치료를 시행하게 되었습니다.

충치 제거 후, 치아 신경이 위치한 통로인 치수강을 개방하여 내부 상태를 확인했습니다.
검사 결과, 오른쪽 치아의 치수강은 비교적 깨끗했지만, 왼쪽 치아는 내부 오염이 심한 상태였습니다.
치수강 오염이 심한 경우, 충치가 치아 뿌리 깊숙이까지 퍼졌을 가능성이 높아집니다. 이러한 상황에서는 치료를 성공적으로 진행하더라도 치아의 수명이 길지 않은 경우가 많습니다.

왼쪽 치아의 CT 검사 결과, 뿌리 아래쪽에 큰 염증이 확인되었습니다. 환자분께 치료 상황과 예후를 상세히 설명드린 후, 치아 보존이 어려울 가능성이 높아 발치를 원하셨고, 이후 임플란트를 진행하기로 결정했습니다.
반면 오른쪽 치아는 신경치료를 통해 치료를 마무리하였습니다.
이 사례에서 알 수 있듯, 같은 통증을 경험하더라도 충치의 깊이와 진행 정도에 따라 치료 방법과 결과가 달라질 수 있습니다.

무엇보다 정기적인 치과 검진을 통해, 필요한 관리 시기를 놓치지 않는 것이 중요합니다.
이미 통증이 나타난 뒤에 방문하면 치료가 늦어질 수 있기 때문에, 사전에 예방하고 관리받는 습관을 갖는 것이 바람직합니다. 꾸준한 관심과 관리로 치아 건강을 지켜나가시길 바랍니다. 감사합니다.
